自分でできる歯ぎしりチェック方法と日常での予防法を解説
2026/01/20
こんにちは、江東区大島・東大島の歯医者、あおぞら歯科です。
歯ぎしりは、多くの人が無意識に行っています。
強い力で歯を噛みしめたり、こすり合わせたりするこの行為は、かみ合わせの不具合やストレス・緊張、睡眠の質の低下などが原因で起こります。
今回は、歯ぎしりが引き起こすさまざまな問題と、自分でできるセルフチェック方法、治療法について解説します。
歯ぎしりのリスク
虫歯
歯ぎしりは、虫歯のリスクを高めます。これは、強い圧力がかかってエナメル質に微細な亀裂ができ、そこから細菌が侵入しやすくなるためです。
削れて薄くなった部分は酸に弱くなるため、虫歯の進行が早まる原因にもなります。
さらに、歯の形が変化して磨き残しが生じやすくなることも、虫歯のリスクが上がる原因です。
ストレスで歯ぎしりが起こっている場合、ストレスの影響で唾液の分泌が減ることもあり、自浄作用の低下により虫歯のリスクは一層高まります。
歯周病
歯ぎしりは、歯周病を進行させる要因の一つです。
強い力が歯根膜や歯槽骨に繰り返しかかることで、歯周組織の炎症が悪化し、症状の進行が早まることがあります。
特に、すでに歯周病の症状がある場合は、悪化しやすくなるため注意が必要です。
知覚過敏
歯ぎしりは、知覚過敏を引き起こす原因になります。
これは、歯ぎしりによって歯のエナメル質が削れて象牙質が露出すると、冷たいものや熱いものなどの刺激が神経に伝わりやすくなるためです。
特に、歯の噛む面や歯ぐきとの境目に症状が出やすく、進行すると食事や歯磨きのたびに痛みを感じるようになります。
歯並び・噛み合わせ
歯ぎしりを続けると、歯の位置や形に変化が生じ、歯並びや噛み合わせに影響を及ぼすことがあります。
例えば、噛む面がすり減ることで、特定の歯に過度な負担がかかり、歯の損傷や移動が進みやすくなります。
こうした歯並びの変化は、咀嚼や発音に影響するだけでなく、顎関節への負担を増やすことで顎関節症の原因にもなります。
顎関節症
歯ぎしりは、顎関節やその周囲の筋肉に負担をかけ、顎関節症を招く原因になります。
筋肉が過度に緊張した状態が続くことで関節に炎症や痛みが生じ、口を開けづらくなるなど、会話や食事に支障が出ることもあります。
歯ぎしりのセルフチェック方法
起床時のあごや顎関節の違和感
朝起きたときにあごや頬の筋肉に痛みを感じたり、疲労感やこわばりを覚えたりする場合は、睡眠中に歯ぎしりをしている可能性があります。
特に、咬筋や側頭筋に緊張や痛みがあるときは、強い力で歯を食いしばっていると考えられます。
また、口を開けるときにカクカクと音がする、朝に口を開けにくいといった顎関節症の症状も歯ぎしりの影響を受けている可能性があります。
舌のふちの歯の痕の有無
舌のふちに歯の痕がある場合、無意識に舌を歯で押しつけたり、強く噛みしめたりしている可能性があります。
通常、舌と歯の間にはすき間があるため、歯型がつくことはありません。
側面に波状の圧痕が見られるときは、食いしばりをしている可能性が考えられます。
鏡の前で舌を軽く前に出し、側面に歯の形に沿った痕がないかを観察してみましょう。
この痕は一時的なものではなく、継続的な圧力でつくられるため、もしあった場合は食いしばりのサインといえます。
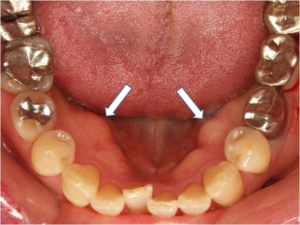
内側の歯ぐきにできたコブ(骨隆起)の有無
歯ぎしりによって強い力があごの骨に持続的にかかると、骨が反応して硬い盛り上がり、骨隆起が形成されることがあります。
骨隆起は主に下顎の内側や上顎の口蓋部に現れ、舌で触れるとコブのように感じられます。
形成はゆっくり進むため、初期段階では気づきにくいことがありますが、舌で口の内側を触って、以前にはなかった硬い盛り上がりを感じた場合は、歯科医院で確認してもらうようにしましょう。
歯の表面のすり減り
歯ぎしりが続くと、歯の表面が異常にすり減ることがあります。
特に犬歯や小臼歯の先端、大臼歯の噛む面が平らになっている場合は、摩耗が起きているサインです。
鏡で確認して、歯の先端が平らになっている、左右で高さが違う、細かい亀裂が見られるといった変化があれば注意が必要です。
スマホアプリでのチェック
スマートフォンのアプリを使用して歯ぎしりのモニタリングをすることも可能です。
これらのアプリは、睡眠中の音や振動を検知し、歯ぎしりの可能性がある音を記録することができます。
気になる症状がある場合は歯科医師に相談することが重要ですが、歯ぎしりの頻度や傾向を把握するための参考として活用してみましょう。
知覚過敏の症状の有無
冷たい飲み物や甘いものを口にしたときに歯がしみる場合、歯ぎしりでエナメル質が削れ、象牙質が露出している可能性があります。
以前は問題なかった刺激に急に反応するようになった場合は、歯ぎしりによる知覚過敏を疑ってみましょう。
詰め物やかぶせ物の取れやすさ
詰め物やかぶせ物が頻繁に外れたり破損したりする場合、歯ぎしりによる強い力が影響している可能性があります。
特に短期間で脱離や破損が繰り返されるときは、歯ぎしりや食いしばりを疑ってみましょう。
歯ぎしりの治療法
ナイトガード
ナイトガードは、睡眠中に装着することで歯ぎしりによる歯の摩耗や破損を防ぐマウスピース型の装置です。
歯同士が直接ぶつかるのを防ぎ、かかる力を分散させることで、歯やあごへの負担を軽減します。
ナイトガードには、歯科医院で歯列に合わせて作るカスタムメイドタイプと、市販されている既製品タイプがあります。
カスタムメイドタイプは個々の口内に合わせて作られるため装着感や耐久性に優れており、市販品は手軽に入手できる反面、適合性や耐久性で劣るというデメリットがあります。
咬合調整
咬合調整は、歯の噛み合わせを整えて、歯ぎしりの原因となる咬合の不調和を改善する方法です。
歯の表面を少量削ったり、詰め物やかぶせ物の高さを調整したりすることで、噛み合わせのバランスを改善します。
まとめ
歯ぎしりは、早期に気づくことで、歯やあごへのダメージを抑えられます。
起床時のあごの違和感、舌の歯痕、骨隆起、歯の摩耗、知覚過敏、詰め物の脱離などがないかを定期的にチェックし、異常が見られた場合は早めに歯科医師に相談することが大切です。
あおぞら歯科:https://aozora-d-c.jp/
〒136-0072 東京都江東区大島8-23-5 第2佐藤ビル1F
電話:03-3636-7819
交通アクセス
電車でお越しの方:大島・東大島 各駅より 徒歩5分
